제가 책상에 앉아서 장시간 일하는 근무를 하고 있거든요. 근데 언제부터인가 손발 저림이 있었고요. 그게 조금 더 심해지더니 걷는 것도 불편하더라고요. 손발하고 다리 전체가 저린 거니까 문제가 좀 크게 있구나 이거 간단한 문제가 아니다 이런 생각을 하게 됐어요.
손에 힘 들어가는 게 예전 같지 않았죠. 힘도 빠지고. 예를 들어 키보드로 글 쓰는 작업을 많이 하는데 키보드 작업이 힘든 거죠. 독수리 타법으로 하다가 그것도 힘들어졌고요. 젓가락질도 힘들었던 부분이 있었죠. 그래서 젓가락질이 힘드니까 밥 먹을 때도 숟가락으로 밥을 먹었어요. 손에 힘이 없으니까 숟가락 많이 쓰곤 했었죠. 단추 끼우는 것도 좀 어려웠죠.
특히 다리 힘이 많이 빠져서 걸을 때 넘어질까 봐 걱정이 되더라고요. 걸을 때 균형이 안 맞아요. 혼자 걷는 게 힘드니까 옆에서 누가 부축해주면 걷고요.
전체적으로 감각을 잘 못느꼈고요. 그러니까 아픈 걸 몰랐어요. 꼬집어도 아픈 걸 몰랐고. 감각이 없으니까 진짜 걱정이 됐었죠. 이게 마비가 있는 건가 하고요.
예전부터 허리통증이 있어서 허리에 문제가 있지 않나 싶어서 허리 MRI 촬영을 먼저 했어요. MRI 검사 했더니 척추관협착증이라고 하더라고요. 그래서 허리 수술이 필요하다고 해서 허리 수술하기 전에 손이랑 다리에 저림과 힘빠짐 증상을 얘기하니까 이게 척추 문제만이 아니고 다른 것도 문제가 있을 수 있으니까 MRI를 다른 쪽도 찍어보자고 해서 전체 다 찍은 거죠. 목이랑 허리 다 찍은 거죠. 검사 후 물어보니까 병원에 목을 치료하는 전문의가 있고 허리 쪽 전문의가 있는데 저는 허리 쪽 전문의랑 먼저 상담을 했거든요. 그러니까 그분은 일단 허리 쪽 먼저 하자고 해서 수술을 하게 됐어요. 척추관협착증이라고 허리 협착을 제거해야지 신경이 잘 흐를 수 있다고 수술해야 된다고 해서 허리 수술을 하게 됐죠.
호전반응을 실감한 건 없었어요. 수술 당시에는 너무 급한 마음에 그리고 또 직장 문제도 있으니까 빨리 허리 수술해서 해결하면 좋아지겠거니 했거든요. 근데 허리 수술하고 나서도 손, 다리에 힘이 안 돌아오고 수술을 해도 걷는 게 너무 힘들었으니까 그래서 너무 절망적이었던 거죠. 허리 수술 끝나고도 손, 다리의 힘빠짐이 해결이 안 되니까 바로 목 수술을 하자고 하더라고요. 제 신체 구조상 수술이 좀 어려운 케이스일 수 있다고 사실은 허리 수술하고 나서 시간이 좀 지난 다음에 목 수술을 해야 되는데 지금 증상이 남아 있으니까 원하면 목 수술을 바로 해줄 수 있다는 식으로 얘기를 했죠. 다음 수술 얘기를 하시니까 그 병원에 있기 부담이 되기도 해서 그냥 일단 퇴원을 했거든요.
제 생각에는 허리수술을 한 다음에 바로 목 수술을 하는 게 걱정이 되고 경추척수증은 목에 나사를 박고 전신 마취해서 수술한다는 얘기를 들으니까 이건 좀 아닌 것 같아서 비수술로 치료할 수 있는 곳이 없나 검색한 거예요. 그때 검색하기 시작해서 모커리를 알게 된 거예요. 믿음이 간다기 보다는 일단 목 수술은 웬만하면 안 하고 싶다는 생각이 컸기 때문에 어떤 방법이라도 있으면 한번 도전해 보자라는 게 컸었고요. 한방 치료에 대해서도 제가 허리 아팠을 때도 침 맞고 좋아진 것도 있고 그리고 다른 병원에서는 다 수술해야 된다고 하니까 그러면 모커리에서 진료 받고 몸도 쉬고 회복하는 것만해도 크다. 그러니까 믿음보다도 다른 치료방법이 없으니까 한번 도전해 보자 이렇게 된 거죠.
허리수술 끝나고 보조기 잡고 걷는데 힘들더라고요. 걷는 게 자신이 없었어요. 모커리 올 때 어렵게 차 타고 걷는 게 자신이 없으니까 휠체어 타고 올라온 거죠.
경추척수증이 어떻게 수술없이 치료 가능한지, 치료는 어떻게 하는 건지 이분 MRI 보고 나서 자세히 설명해 드리겠습니다.
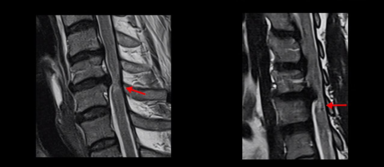
목 5번 6번을 보면 디스크가 심하게 밀려 나와서 척수 신경을 누르고 있습니다.

척수 신경이 눌려서 손상된 사인이 하얗게 보입니다. 이걸 경추척수증이라고 합니다.

척수 신경이 눌리고 손상되니까 양쪽 손과 양쪽 다리 모두에 증상이 생깁니다. 양손에 힘이 빠지고 젓가락질이 힘들고, 단추 끼우기도 어려워지고 다리에 힘이 빠지니까 걷기도 힘들어집니다. 양손과 다리의 감각도 떨어지고요. 그래서 이 환자분은 수술하더라도 목 수술을 해야 하는데, 엉뚱하게도 허리 수술을 받습니다. 처음에 병원에 갈 때 허리도 원래 많이 아팠다고 하니까 그 병원에서 목 검사와 허리를 함께 검사해 보고 허리 협착도 심하니까 허리 수술을 먼저 하자고 합니다. 그래서 허리 세 마디를 수술했습니다.
MRI 보면 무려 3마디의 허리 뒤쪽, 후궁 뼈 한쪽을 거의 다 뜯어내고

황색 인대를 대부분 다 걷어냈습니다.

문제는 이 허리 협착이 양손과 양쪽 다리 힘 빠짐의 원인이 아니었기에 수술 후에도 증상이 전혀 좋아지질 않습니다. 그나마 다행인 건 허리 여러 마디를 수술하면서도 나사를 안 박은 겁니다. 수술로 인해 허리 여러 마디에 손상이 생기니까 걷기가 더 어려워져서 결국 저희 병원에 오실 때는 휠체어를 타고 오셨습니다.
이런 경추척수증 환자를 어떻게 수술 없이 치료할 수 있을까요? 지금부터 설명해 드립니다. 저희 병원이 신경이 심하게 눌렸다고 수술로 풀어주는 방법 외에는 다른 방법이 없다고 하는 척수증이나 디스크, 협착증 환자의 마비와 힘 빠짐 증상 등을 수술 없이 치료할 수 있는 이유는 이런 척수증, 디스크, 협착증, 전방전위증 같은 질환으로 인한 마비의 문제가 단순히 신경만의 문제가 아니라 신경과 근육의 복합적인 문제이기 때문입니다.
마비와 힘 빠짐 증상은 문제의 시작이 비록 신경 눌림이었다 할지라도 결국 마지막에 움직이지 못하는 건 근육이고, 감각 마비와 통증을 느끼는 것도 피부와 근육을 통해서입니다. 마비와 힘 빠짐이 오래될수록, 또 통증이 오래될수록 근육과 신경 모두가 기능이 떨어지면서 망가지고 근육이 많이 망가질수록 척추를 지탱하는 기능도 떨어지고, 또 심하게 뭉치고 뒤틀린 근육들이 척추와 신경을 잡아당기기 때문에 신경학적 증상도 더 심해집니다. 마지막으로 이 부분이 가장 중요한데, 망가진 근육과 신경 간에 신호 전달도 잘 안되기 때문에 그런 부분이 마비와 힘 빠짐 및 감각 마비를 심하게 만드는 겁니다.
그런데 수술이란 건 신경이 눌려 있는 목에서만 눌린 신경을 풀어주는 것이죠. 정작 마비와 힘 빠짐이 있는 팔이나 다리는 전혀 치료를 안 하는 겁니다. 팔이나 다리의 근육에 신경 신호가 전달이 잘 안되니까 근육에 힘이 빠지고 감각도 이상한 건데요.
근육과 신경 둘 다의 문제라는 걸 보여주는 또 다른 증거는 수술로 목에서 눌린 신경을 풀어줘도 증상이 좋아지지 않는 환자가 꽤 많습니다. 신경이 눌린 문제만 해결해 주니까 좋아지기 어려운 겁니다. 그래서 근육과 신경 복합체, 이 둘 간의 신경 전달이 잘될 수 있도록 근육신경재활치료를 해줘야 하는 겁니다. 또 여러분이 반드시 이 경추척수증 근육신경재활치료를 받아야 하는 이유는 보통 경추척수증 수술은 다른 척추 수술에 비해 어려운 수술이라 최상급 대학병원에서 받기 위해 몇 달씩 기다리는 분들이 있습니다. 그 기간 동안 더 나빠질 수도 있고, 몇 달을 아무 치료도 안 하고 기다리기도 힘들기 때문에 그 사이에 모커리 근육신경재활치료를 받아보시는 게 좋습니다. 근육신경재활치료를 받아야 할 또 하나의 이유는, 4주 치료가 끝난 후에 치료 결과를 아는 게 아니고 치료 시작하고 1주~10일 이내의 짧은 기간에 호전 반응을 알 수 있습니다. 일단 호전 반응이 시작되면 4주까지 연장해서 치료를 끝냅니다. 그래서 이 일주일에서 열흘이 결국 수술해야 되는지 아닌지를 결정하는 매우 중요한 시간이라고 할 수 있습니다. 일주일에서 열흘 사이에 호전 반응을 보이는 환자 비율은 80~90%로 매우 높은 편입니다. 이 짧은 기간의 비수술 치료를 못 해보고 큰 수술을 받는다는 건 좀 억울하지 않습니까?
그럼 이렇게 문제가 생긴 신경과 근육의 기능을 살려서 마비와 힘 빠짐 및 통증을 치료하는 모커리 근육신경재활치료는 어떻게 하는 걸까요? 한방과 양방의 다양한 치료 침, 약침, 봉침, 이완추나요법, 한약, 물리치료, 도수치료, 운동치료 등의 하루 4회 이상의 반복된 치료를 통해 근육과 신경의 신호 전달을 더 원활하게 만들어주면 마비와 힘 빠짐 증상과 통증이 좋아지는 것입니다. 앞서 말씀드린 대로 목만 치료하는 게 아니고 목에서부터 힘이 빠진 발과 발바닥까지 따라가면서 신경과 근육을 따라 계속 반복 치료를 하는 겁니다.
또 저희 치료후기를 보시면 아시겠지만, 척수증은 수술 후에도 팔이나 다리에 마비나 통증이 남아있는 분들이 많습니다. 척수증 수술 후 남아 있는 마비 증상과 통증에 진짜 필요한 치료가 저희 근육신경재활치료입니다. 척수증 수술 후 남아 있는 마비 증상이나 통증을 호전시키는데 근육신경재활치료는 정말 좋은 치료입니다. 이런 척수증 수술 후 남아 있는 마비와 통증 치료 후기 영상도 있으니까 그런 치료 후기들도 자세히 보시길 바랍니다.
그럼 이 환자분은 4주의 입원집중치료로 얼마나 좋아졌을까요? 마비와 힘 빠짐 증상이 많이 회복이 되었을까요? 젓가락질도 할 수 있고, 더 잘 걸을 수 있게 되었을까요? 이분의 치료 후 결과가 궁금하시다면 아래 영상을 꼭 보시길 바랍니다.
모커리 경추척수증 ABCDE 한·양방협진 재활치료법은 수술 없이 경추척수증을 치료하는 모커리 고유의 비수술 치료방법입니다. 경추척수증은 척수에 영향을 미치고 있는 목 주변의 단축되고 뭉쳐 있는 여러 근육들을 풀어주고, 그 근육들의 기능을 살려주어 잘 버틸 수 있게 해주면, 척수 신경압박이 줄어들면서 수술 없이도 증상이 호전될 수 있습니다.

보다 많은 환자분들과 건강정보를 공유하고자 개방형 게시판으로 건강상담을 운영하고 있습니다. 목과 허리 통증•디스크•협착증•교통사고•어깨•무릎 등 궁금하신 질문을 남겨주시면 전문의가 최대한 자세하게 답변 드립니다.