앉는 게 제일 힘들었어요. 앉으면 엉치가 많이 아팠고요. 엉치가 한 두달 정도 아프고 나서 그게 허리로 올라오더라고요. 그래서 한 10분, 15분 앉아 있는 게 너무 힘들어서 밥도 제대로 못 먹다 보니까 몸무게도 많이 빠지고 그랬습니다. 한 3개월 만에 10kg 넘게 빠졌던 것 같아요.
다리는 양쪽 발끝이 저린 증상이 있었어요. 발가락이 다 저렸어요. 발가락 통증도 있었어요. 저림과 통증은 항상 있었는데 누워 있을 때나 앉을 때 비슷하게 있었어요. 가면 갈수록 더 못 걷겠더라고요. 한 10분만 걸어도 힘들다는 생각이 들었어요.
작년에 허리가 조금 아프면서 운동을 해서 허리 강화 시켜서 낫게 하자고 생각했던 것 같아요. 걷기나 매달리기, 푸쉬업 그런 운동들을 주로 했던 것 같아요. 생각해보면 제 근력 상태보다 운동이나 일을 무리하게 하지 않았나. 그래서 허리가 버틸 수 있는 한계를 넘어서 아프지 않았나 생각이 들었어요.
병원 세 군데 정도 가본 것 같아요. MRI를 찍었는데 퇴행성 디스크가 있고 4번 5번에 디스크가 튀어나왔다고 말씀하시더라고요. MRI상에 어쨌든 퇴행이 있고 디스크가 조금 튀어 나와 있으니까 디스크를 고치려고 하시더라고요. 그게 원인이라고 판단했던 것 같아요. 근데 저는 일반인이니까 병원에서 그렇게 말씀을 하면 그걸 믿을 수밖에 없잖아요. 병원에서 수술할 정도는 아니라고 해서 주사 치료를 받게 됐어요.
그런 병원은 없었어요. 한 번도 제 증상과 MRI를 비교해 보는 병원은 없었어요. 다른 병원들은 MRI 상으로는 이런 증상이 나올 수 없는데 그거를 약간 무시한다고 해야 될까요? 아니면 정확히 봐주지 않는다고 해야 될까요? 그렇다 보니까 허리가 안 좋은 건 알고 있었지만 어떻게 안 좋은지 정확히 몰랐던 것 같아요. MRI 찍어봐도 디스크가 안 좋으니까 디스크 문제라고 많이 생각을 했던 것 같아요.
작년에 다섯 번 정도 맞았고요. 그전에도 2-3년 간격으로 두세 번씩 맞아서 다 합치면 10번 넘게 맞은 것 같아요. 신경주사는 작년 3월에 두 번 맞고 9월에 세 번을 맞았는데 3월에 두 번 맞았을 때는 괜찮았어요. 근데 9월에 세 번 맞은 게 효과가 없었어요. 9월에는 신경주사 효과가 없었고 오히려 더 안 좋아졌어요.
디스크내장증 진단을 한번 들었어요. 말씀은 그렇게 하셨어요. 찾아보니까 그게 블랙디스크라고 하더라고요.
저는 병원을 믿고 디스크 치료를 했던 건데 디스크가 원인이 아닐 수도 있겠다는 생각이 들어서 그때부터 많이 찾아보기 시작했죠. 유튜브 검색을 하다가 운동방법 많이 봤고 그리고 저랑 비슷한 환자들 치료후기 그런 거 많이 보고 찾아왔어요. 치료후기 영상에 MRI랑 증상이 매치가 잘 안 되는 분들 계시고 그리고 어차피 수술할 생각은 없으니까 모커리에 오게 됐습니다.
저는 믿음이 있었어요. 왜냐하면 어차피 수술할 게 아니니까 올 수 있는 데가 모커리 밖에 없었어요. 제 증상을 근 기능 이상으로 진단하는 데가 아무리 찾아봐도 없는 거예요. 그래서 일단은 근육을 치료한다는 게 믿음이 가더라고요.
아무래도 양방보다는 한방에 대한 인식이 그렇게까지 좋진 않잖아요. 주위에서 양방에 가서 수술이나 치료를 받는 게 훨씬 효과가 좋지 않겠냐고 말씀 많이 하시더라고요. 그렇다 보니까 한방병원을 왜 가냐고 하면서 사람들이 많이 의아해했죠. 근데 아픈 건 저고 치료 받는 건 저니까 남들 얘기를 참고할 수 있어도 어차피 제가 결정해서 오는 거니까 바뀔 부분은 없다고 생각해요.
저희는 디스크내장증은 정말 잘못된 진단이며 디스크 문제가 아닌 허리 기능의 문제, 특히 허리근육 기능의 문제가 원인이고 허리 근육 기능의 재활 치료를 해야만 좋아질 수 있다고 설명 드리고 있습니다. 그래서 혹시라도 디스크내장증 진단을 받으신 분들은 이 내용을 자세히 보시면서 왜 아픈 건지, 치료는 어떻게 하고 관리와 운동은 어떻게 해야 하는 건지 자세히 들어보시길 바랍니다.
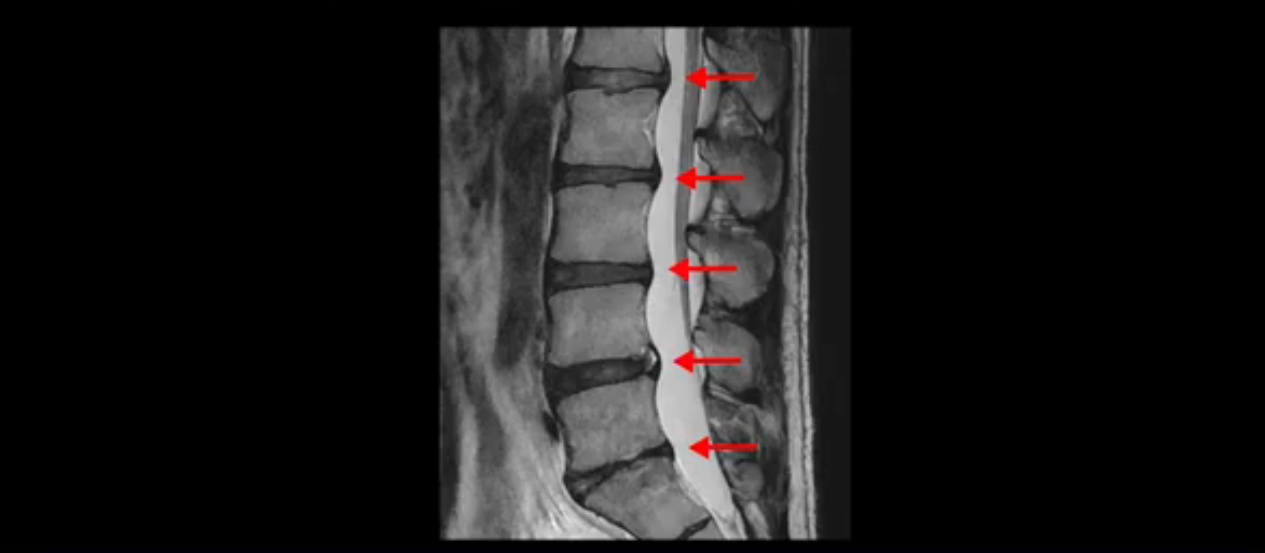
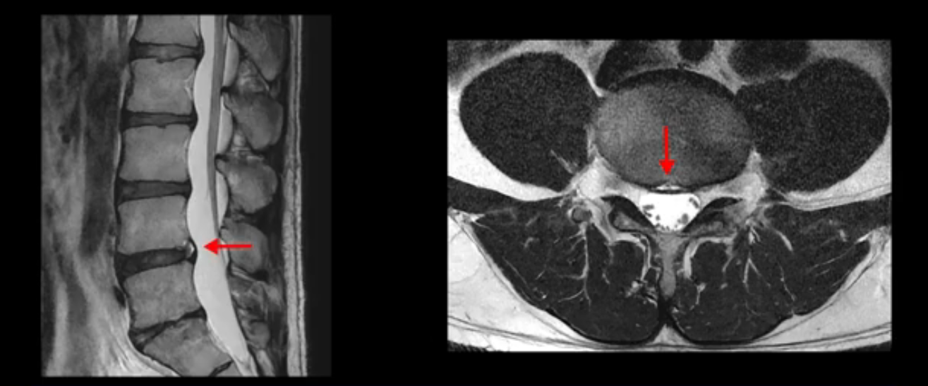
우선 이분 MRI를 보면 허리 모든 마디의 디스크가 퇴행되어 있고

여러 마디의 디스크가 조금씩 밀려나와 보이고, 디스크 섬유륜도 찢어져 보이는 마디도 보입니다.

그런데 이분의 증상과 MRI가 전혀 일치하지 않는데, 왜 그런지 지금부터 자세히 설명드립니다. 이분 증상은 앉으면 엉치와 허리가 심하게 아파 10분 이상 앉는 게 어렵고 양쪽 발가락이 앉아있을 때나 누워있을 때 다 저립니다. 걸을 때도 아파서 10분 걷기도 어렵습니다. MRI를 마디마디 살펴보면 1번 2번은 오른쪽으로 살짝 밀려나온 디스크가 있지만 전혀 심하지 않고, 뒤에 또 설명하겠지만 최근에 밀려나온 급성 디스크가 아니고 오래된 디스크로 판단됩니다.

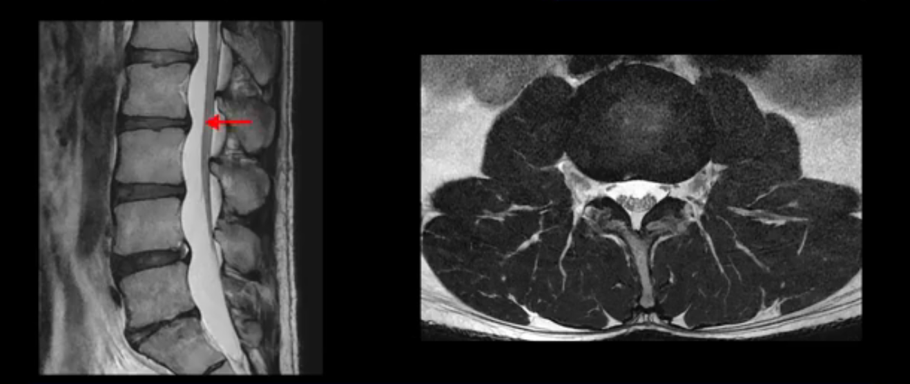
2번 3번도 비교적 디스크 상태는 좋고 신경 구멍 넓이도 아주 넓습니다.

3번 4번도 마찬가지로 디스크상태 좋아 보이고 신경 눌림 전혀 없어 보입니다.

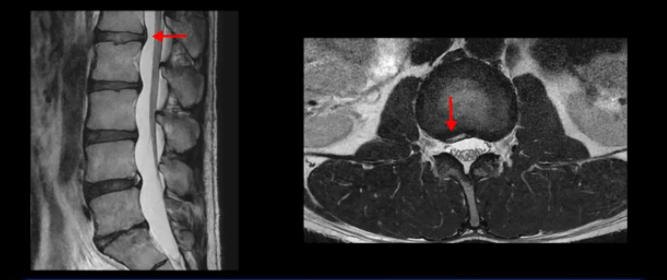
4번 5번은 가운데로 섬유륜이 찢어져서 디스크가 살짝 밀려나와 있지만 역시나 최근에 찢어지고 밀려나온 걸로 판단되지 않고 오래 전에 찢어진 흔적으로 보입니다.

왜 최근에 찢어진 급성이 아니고 오래된 거라고 하는지 이 부분도 뒤에 한꺼번에 설명 드리겠습니다.
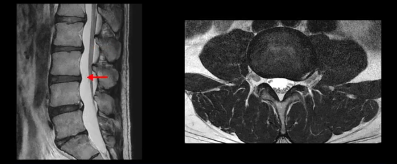
5번 1번 역시 가운데로 디스크 조금 밀려 나와있지만 신경 공간 넓이는 아주 넓어서 신경 눌림 있을 거라고 예상이 안됩니다.

추간공도 보시다시피 왼쪽, 오른쪽 전부 다 매우 넓어서 신경이 눌릴만한 부분이 전혀 보이지 않습니다.

앞서 1번 2번, 4번 5번, 5번 1번의 디스크가 찢어지고 조금 밀려 나온 게 최근에 찢어진 게 아니고 오래된 걸로 보인다고 말씀 드렸죠. 왜 그럴까요? 만약 급성으로 찢어진 것이라면 아주 심한 디스크성 통증이 있겠죠. 기침이나 재채기를 하면 심하게 아프고 허리를 조금만 구부리거나 비틀면 아주 날카로운 통증들이 생길 겁니다. 그런데 이분은 이런 증상이 전혀 아닙니다. 또 디스크의 밀려나온 정도도 전혀 심하지 않기 때문에 이분이 가지고 계신 양쪽 다리 저림, 특히 이분은 누워있을 때도 양쪽 발이 발가락까지 쑤신다고 하는데 이정도 디스크 때문에 그런 증상은 생길 수가 없는 겁니다. 이처럼 이분의 가벼운 디스크 탈출은 이미 오래 전에 진행되었고 섬유륜 자체는 이미 아문 상태인데도 디스크내장증을 진단받은 환자들 중에는 본인이 섬유륜 파열 환자라고 끝까지 믿는 분들이 많습니다. 다시 말하지만 디스크내장증이라는 진단을 받은 환자들을 보면 거의 전부 다 섬유륜 파열 증상이 아닙니다. 증상이 완전히 다릅니다. 진단이 애초에 잘못되면 어떤 치료를 받아도 좋아질 수 없습니다.
이분은 어떤 한 병원에서 디스크 내장증 얘기를 들으셨는데요. 여기 보시는 것처럼 4번 5번의 하얀 HIZ(High Intensity Zone)을 보고 디스크 내장증의 근거로 얘기하는 병원들이 있는데,

이 HIZ는 섬유륜이 찢어졌다가 이미 아문 뒤에도 얼마든지 보일 수 있는 흔적일 가능성이 있어서 재채기를 하면 아픈지, 허리를 구부릴 때 날카로운 통증이 생기는가 등의 증상으로 구별해야 하는데 MRI만 보고 HIZ가 보이면 그게 마치 통증의 원인인 것처럼 얘기하는 의사들이 있습니다. 이분 MRI를 자세히 보고 증상을 정말 자세히 들어본 의사가 있었더라면 다른 환자분들처럼 증상과 MRI가 일치하지 않는다는 얘기를 들을 수 있었을 텐데 이분은 그런 얘기는 듣지 못했습니다.
그럼 MRI를 자세히 봤으니까 이제 이 환자의 증상은 실제 왜 생기고 어떤 문제 때문에 아픈지에 대해서 차분히 설명을 드리도록 하겠습니다. 이 환자분의 진짜 통증의 원인은 무엇일까요? 이건 디스크의 문제가 아닙니다. 이 환자분의 진짜 통증의 원인은 허리의 기능이 완전히 무너진 겁니다. 허리의 기능 중에 가장 중요한 부분을 차지하는 게 근육인데, 이분의 근육 기능에는 오래 전부터 문제가 많았습니다. 이분은 작년에 앉지 못하고 양쪽 다리가 저리는 심각한 증상이 발생했는데요. 그런데 이런 증상이 발생하기 훨씬 이전부터 운동을 조금만 무리하면 허리가 뻐근하고 아픈 증상들이 있었습니다. 10년도 더 되는 오랜 기간 동안 허리가 조금씩 아프고 만성적으로 안 좋은 상태였는데, 6개월 전 어느 날 무리한 운동을 한 후에 허리와 근육의 기능적인 문제가 한계선을 넘어가니까 더 심한 증상들이 쏟아져 나오는 거죠.
허리 기능의 가장 중요한 부분이 허리를 지탱하는 건데, 우리 허리가 가장 부담을 받는 자세가 앉는 겁니다. 그래서 이렇게 허리 기능이 무너지고 망가진 환자들의 가장 중요한 첫 번째 증상이 앉지를 못하는 겁니다. 앉을 때 허리가 지탱을 해줘야 되는데 지탱을 하지 못하니까 허리나 엉덩이가 아프고 다리까지 저린 것이죠.
근데 이 환자분이 평소에도 허리가 좋아지려면 운동을 해야 한다고 믿어서 허리가 아픈데도 꾸준하게 근력 운동을 합니다. 이런저런 근력 운동을 인터넷이나 유튜브를 보고 따라 합니다. 그럼 어떻게 되겠습니까? 허리와 근육 기능이 좋지 않은 상태에서 근력운동을 하니까 더 아프고, 또 쉬면 좋아지고.. 이걸 10년 이상 반복하는 겁니다. 이분이 이런 말씀하는 걸 앞에서 들으셨죠?
게다가 이 환자분은 발병하고 나서 식사를 못하니까 10kg이상 살이 빠졌다고 했는데, 몸무게가 그렇게 많이 빠지면 대부분 근육이 빠지는 겁니다. 근육에 기능적 문제가 있는데 근육량까지 줄어들면 당연히 증상이 더 악화될 수 밖에 없습니다.
근데 이런 양쪽 다리 방사통을 느끼는 분들이 가진 공통적인 특징이 있습니다. 저희가 수많은 이러한 증상의 환자분들을 치료하면서 알게 된 내용인데, 10명 중에 9명은 예민하면서 강박증이 있습니다. 그게 어떤 의미냐면 이런 환자분들이 일단은 빨리 좋아져야 된다, 지금 당장 무언가를 해서 빨리, 그리고 완벽하게 모든 증상이 사라져야 된다는 생각이 매우 강합니다. 그래서 치료를 받든지 운동을 하든지 무언가를 빨리 해치워야 한다는 강박증이 있습니다. 그 강박증 때문에 편하게 쉬지 못하는 특징들을 가지고 있습니다. 그러니까 몸이 좀 편하게 쉬면 더 회복되고 좋아질텐데 몸이 회복될 시간도 주지 않고 조금 회복되면 또 근력 운동 등으로 몸을 괴롭히는 겁니다.
그래서 이런 환자분들의 운동과 치료는 일상생활을 완전히 중단하고 입원해서 푹 쉬게 한 상태에서 허리의 근육이나 근력 기능이 떨어지지 않도록, 또 서서히 기능을 회복시키는 아주 가벼운 운동들을 해줘야 합니다. 그리고 허리 기능과 근육 기능이 떨어졌다는 얘기는 허리, 골반 주변의 근육들이 심각하게 긴장되고 경직되고 불균형이 생겼다는 얘기입니다. 그래서 매일 4회 이상 그 근육들을 한방, 양방의 다양한 치료방법으로 풀어주고 쉬고 가볍게 운동하고를 반복하는 겁니다. 긴장되고 경직되고 뭉친 근육들을 풀어주는 방법은 침, 약침, 봉침, 이완추나요법, 도수치료, 물리치료, 가벼운 운동 치료 등 수많은 방법이 있고, 이런 치료들을 복합적으로 이용하여 하루에 4번 이상 반복해서 치료하는 겁니다. 굳어있고 뭉치고 뒤틀린 근육들이 풀리고 가벼운 재활운동을 통해 허리의 기능이 회복되면 통증도 줄어들고, 앉아있을 수 있는 시간도 늘어납니다. 보통은 1~2주 정도 지나면 근육치료와 휴식의 효과, 재활운동의 효과가 나타나면서 허리가 편해지기 시작하고, 3-4주 정도 되면 통증이 많이 좋아지면서 치료가 끝납니다.
그런데 중요한 건 뭐냐면, 이런 분들이 발병하고 나서 6개월이건 1년이건 어떤 치료를 받건 단 한 번도 이 정도의 호전 효과를 본 적이 없다는 겁니다. 이분 역시 통증이 심하게 나타난 지 6개월 이상 됐습니다만, 그 어떠한 치료를 받아도 호전 효과를 보지 못했다고 하셨습니다. 그래서 고주파 치료 같은 시술을 고민했다고 하는데요. 그러면 어떠한 치료를 받든 어떤 운동을 했든 이 정도 수준의 호전 효과를 보이지 않았다면, 저희가 얘기하고 있는 허리 기능이 망가져서 이러한 증상이 나온다가 맞는 것 아닙니까? 이 환자분은 사실 10-20년 가까이 몸에 무리가 되는 근력 운동을 지속하면서도 이 운동들을 본인의 척추 근육 기능들이 받아들이지 못한다는 걸 인지하지 못한 채 운동하고 아프고 운동하고 아프고를 반복하면서 살았다고 합니다. 그러다가 결국 한계점에 이르니까 작년 여름에 문제가 터진 겁니다.
이런 분들 특징이 본인의 몸을 편하게 내버려 두질 않고 계속 괴롭히고, 그나마 좀 쉴 때도 강박증 때문에 맘이 편하질 않습니다. 그래서 진짜 치료는 허리 기능을 재활시키는 것도 중요한 치료이지만 디스크내장증을 진단받은 환자들이 이걸 깨닫게 하는 게 정말 중요한 치료의 일부분인 겁니다. 이걸 깨닫지 못하면 단언컨데 회복은 불가능합니다.
자, 이 환자분은 3주 입원치료하고 퇴원하셨는데, 이분의 치료 결과는 어떻게 됐을까요? 아까 말씀 드린 대로 통증이 발병한 후 처음으로 상당부분 좋아지셨을까요? 통증의 원인이 뭐라는 걸 확실히 깨닫고 앞으로 관리나 운동을 잘할 수 있는 자신감이 생겼을까요?
모커리 디스크내장증을 진단 받은 환자분들의 대부분은 허리 기능이 약화되어 있고 근기능 이상이 있게 때문에 허리기능을 재활하는 치료가 필요합니다. 활동량과 운동량을 줄이고 충분히 쉬며 한·양방 협진 복합 재활치료 및 가벼운 재활운동도 진행합니다.
